デンタルオフィス凛デンタルオフィス蓮デンタルオフィス零長島プロ&WORKSスピードスターコーヒーブランシェール

代表挨拶理念をみるグループ案内

総合計画チーム診療クリニックのこだわりQ&A 

診療案内

お支払い/保証制度料金について

社会貢献活動 ご予約・お問い合わせ

ホーム

作品事例

千葉市中央区の歯科グループ ZU WORLD GROUP トップ作品事例

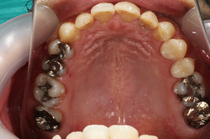
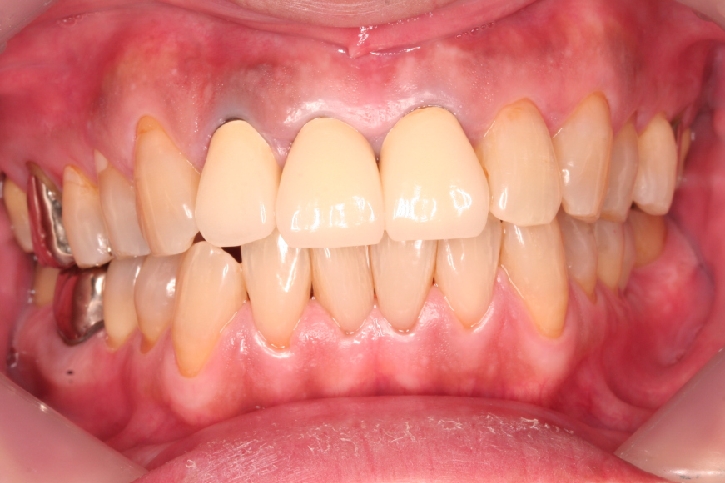
メタルセラミックス修復

担当歯科医師:佐藤英司

2013年5月24日千葉市中央区 M.H様 右上7番 タルボンドクラウン修復

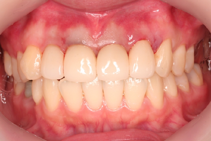
オールセラミックス修復

担当歯科医師:丸林浩太郎

2013年5月19日千葉市若葉区 Y.I様 右上1番 オールセラミッククラウン修復

オールセラミックス修復

担当歯科医師:丸林浩太郎

2013年5月15日千葉県市川市 M.T様  右上5番 オールセラミックインレー修復

メタルセラミックス修復

担当歯科医師:丸林浩太郎

2013年5月12日千葉市中央区 K.H様 左下3456番 メタルボンドブリッジ修復

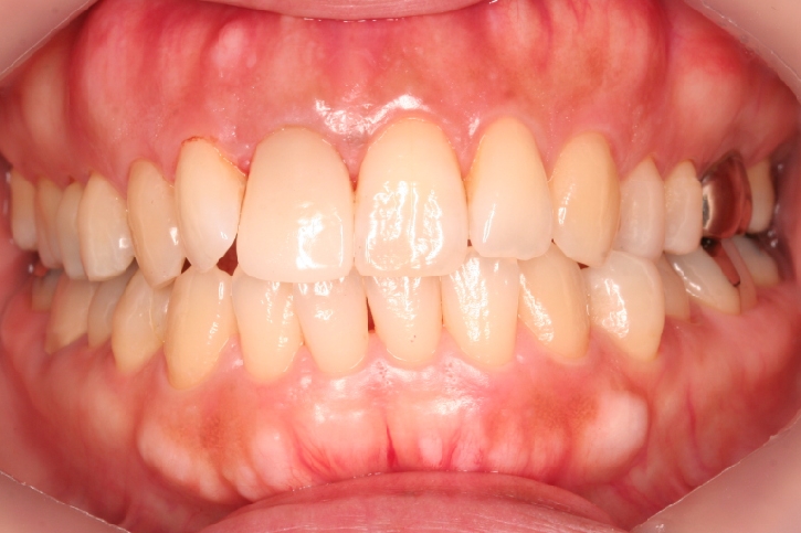
オールセラミックス修復

担当歯科医師:丸林浩太郎

2013年5月11日千葉市中央区 K.N様 上顎12番 オールセラミッククラウン修復

オールセラミックス修復

担当歯科医師:川津恵理奈

2013年5月9日N.S様 右上1番 オールセラミッククラウン修復

メタルセラミックス修復

担当歯科医師:川津良介理事長

2013年5月3日平成25年5月2日 千葉市中央区 H.S様 右下67番 メタルボンドクラウン修復

インプラント

担当歯科医師:佐藤英司

2013年5月3日千葉市若葉区 Y.T様 左下6番 インプラント上部構造

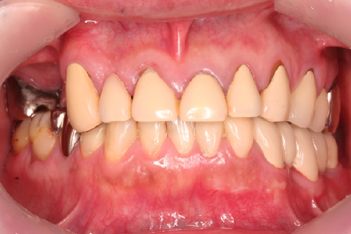
オールセラミックス修復

担当歯科医師:川津良介

2013年5月3日H.25.05.01 千葉市中央区 H.H様 左下7番 オールセラミッククラウン修復

オールセラミックス修復

担当歯科医師:川津良介理事長

2013年5月2日H25.05.01 千葉市中央区 H.H様 左上45番 オールセラミックインレー修復

カテゴリ
最新のトピックス
バックナンバー
カテゴリ
    最新のトピックス
      バックナンバー

        診療科目

        ご予約・お問い合わせ