デンタルオフィス凛デンタルオフィス蓮デンタルオフィス零長島プロ&WORKSスピードスターコーヒーブランシェール

代表挨拶理念をみるグループ案内

総合計画チーム診療クリニックのこだわりQ&A 

診療案内

お支払い/保証制度料金について

社会貢献活動 ご予約・お問い合わせ

ホーム

作品事例

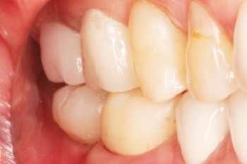
千葉市中央区の歯科グループ ZU WORLD GROUP トップ作品事例千葉市中央区 M.H様 右上7番 タルボンドクラウン修復

2013.05.24

千葉市中央区 M.H様 右上7番 タルボンドクラウン修復

担当歯科医師:佐藤英司
カテゴリ
最新のトピックス
バックナンバー
カテゴリ
    最新のトピックス
      バックナンバー

        診療科目

        ご予約・お問い合わせ