デンタルオフィス凛デンタルオフィス蓮デンタルオフィス零長島プロ&WORKSスピードスターコーヒーブランシェール

代表挨拶理念をみるグループ案内

総合計画チーム診療クリニックのこだわりQ&A 

診療案内

お支払い/保証制度料金について

社会貢献活動 ご予約・お問い合わせ

ホーム

作品事例

千葉市中央区の歯科グループ ZU WORLD GROUP トップ作品事例

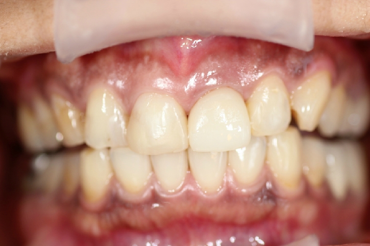
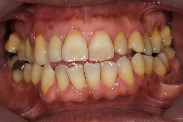
オールセラミックス修復

担当歯科医師:丸林浩太郎

2013年6月23日千葉市中央区 M.H様 右上1番 オールセラミッククラウン修復

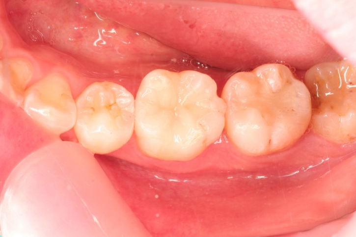
オールセラミックス修復

担当歯科医師:佐藤英司

2013年6月20日平成25年6月19日 千葉市中央区 M.U様 左下6番 オールセラミックインレー修復

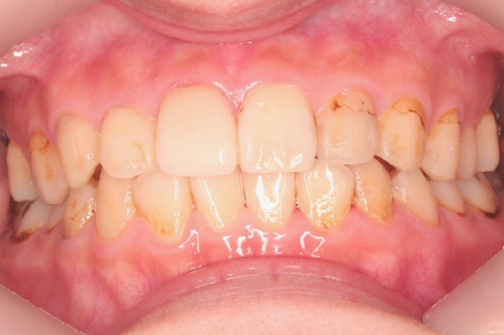
オールセラミックス修復

担当歯科医師:佐藤英司

2013年6月13日千葉県君津市 E.K様 左上1番 オールセラミッククラウン修復

メタルセラミックス修復

担当歯科医師:川津良介理事長

2013年6月12日千葉市緑区 T.I様 左下567番 メタルボンドブリッジ修復 

メタルセラミックス修復

担当歯科医師:川津良介理事長

2013年5月30日千葉市中央区 A.N様 右上2番 メタルボンドクラウン修復

ゴールド修復

担当歯科医師:丸林浩太郎

2013年5月30日H25.05.29 千葉市若葉区 H.S様 左下45番 ゴールドクラウン修復

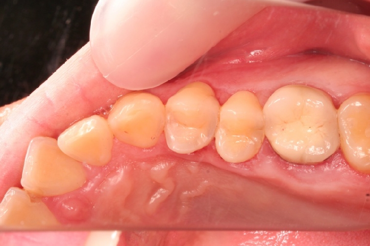
ハイブリッドセラミックス修復

担当歯科医師:川津良介理事長

2013年5月26日平成25年5月25日 千葉市中央区 M.N様 左下45番ハイブリッドセラミック修復

ハイブリッドセラミックス修復

担当歯科医師:丸林浩太郎

2013年5月26日平成25年5月25日 千葉市中央区 T.K様 左上4番 ハイブリッドセラミック修復

ハイブリッドセラミックス修復

担当歯科医師:川津良介理事長

2013年5月26日千葉市中央区 J.H様 左下45番 ハイブリッドセラミック修復

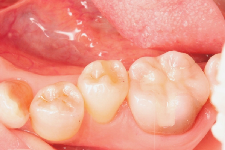
オールセラミックス修復

担当歯科医師:丸林浩太郎

2013年5月25日千葉県市川市 M.T様 左下6番 オールセラミックインレー修復

カテゴリ
最新のトピックス
バックナンバー
カテゴリ
    最新のトピックス
      バックナンバー

        診療科目

        ご予約・お問い合わせ