デンタルオフィス凛デンタルオフィス蓮デンタルオフィス零長島プロ&WORKSスピードスターコーヒーブランシェール

代表挨拶理念をみるグループ案内

総合計画チーム診療クリニックのこだわりQ&A 

診療案内

お支払い/保証制度料金について

社会貢献活動 ご予約・お問い合わせ

ホーム

作品事例

千葉市中央区の歯科グループ ZU WORLD GROUP トップ作品事例

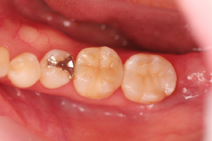
ハイブリッドセラミックス修復

担当歯科医師:川津恵理奈

2013年8月2日千葉市中央区 M.N様 右下67番 ハイブリッドセラミックインレー修復

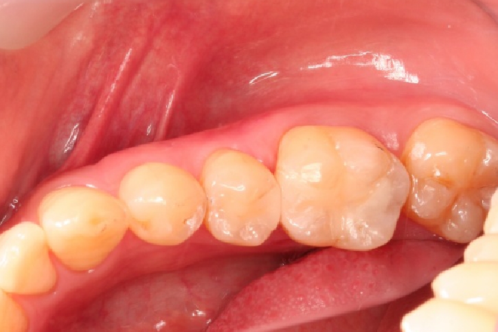
メタルセラミックス修復

担当歯科医師:川津良介理事長

2013年8月1日千葉市美浜区 S.H様 左下6番 メタルボンドクラウン修復

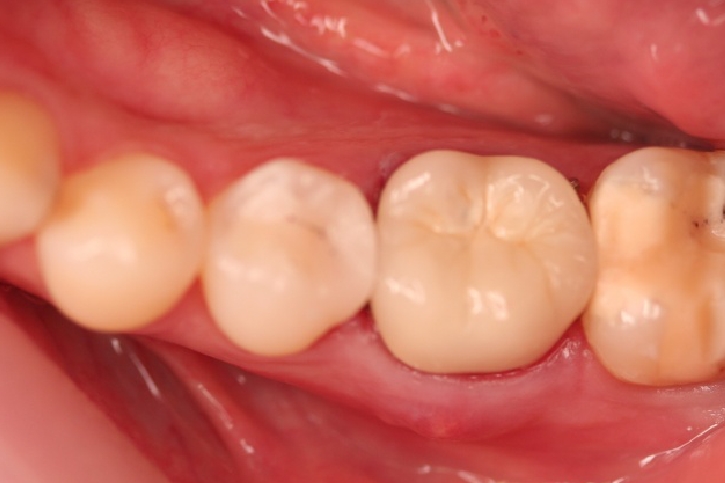
オールセラミックス修復

担当歯科医師:川津良介理事長

2013年7月24日千葉市中央区 K.M様 右下56番 オールセラミックインレー 右下7番 コンポジットレジン修復

ゴールド修復

担当歯科医師:川津良介理事長

2013年7月24日平成25年7月23日 千葉市稲毛区 M.Y様 右上56番 ゴールドインレー修復

オールセラミックス修復

担当歯科医師:川津良介理事長

2013年7月21日平成25年7月20日 千葉県山武市 H.I様 右上4番 オールセラミックインレー修復

オールセラミックス修復

担当歯科医師:丸林浩太郎

2013年7月21日千葉市中央区 H.I様 右下56番 オールセラミックインレー修復

ゴールド修復

担当歯科医師:川津良介理事長

2013年7月13日H25.07.12 千葉市中央区 M.K様 右下56番 ゴールドインレー修復

オールセラミックス修復

担当歯科医師:佐藤英司

2013年7月9日千葉市緑区 A.M様 左下7番 オールセラミックインレー修復

ゴールド修復

担当歯科医師:丸林浩太郎

2013年6月30日H25.05.29 千葉市稲毛区 A.U様 左上6番 ゴールドインレー修復

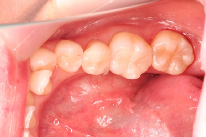
ハイブリッドセラミックス修復

担当歯科医師:川津良介理事長

2013年6月26日平成25年6月25日 Y.S様 千葉市若葉区 左下567番ハイブリッドセラミック修復

カテゴリ
最新のトピックス
バックナンバー
カテゴリ
    最新のトピックス
      バックナンバー

        診療科目

        ご予約・お問い合わせ