デンタルオフィス凛デンタルオフィス蓮デンタルオフィス零長島プロ&WORKSスピードスターコーヒーブランシェール

代表挨拶理念をみるグループ案内

総合計画チーム診療クリニックのこだわりQ&A 

診療案内

お支払い/保証制度料金について

社会貢献活動 ご予約・お問い合わせ

ホーム

作品事例

千葉市中央区の歯科グループ ZU WORLD GROUP トップ作品事例

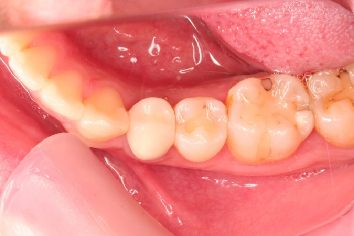
メタルセラミックス修復

担当歯科医師:丸林浩太郎

2013年8月30日H25.08.28 千葉市中央区 T.S様 右上5番 メタルボンドクラウン修復

メタルセラミックス修復

担当歯科医師:丸林浩太郎

2013年8月26日H25.08.25 千葉県船橋市 K.N様 右上4番 メタルボンドクラウン修復

ハイブリッドセラミックス修復

担当歯科医師:川津良介理事長

2013年8月11日平成25年8月10日 K.Y様 左下4番 ハイブリッドセラミッククラウン修復

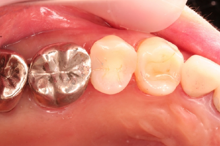
メタルセラミックス修復

担当歯科医師:丸林浩太郎

2013年8月11日千葉市中央区 K.C様 右下6番 メタルボンドクラウン修復

オールセラミックス修復

担当歯科医師:川津良介理事長

2013年8月10日H25.08.09 千葉市若葉区 M.O様 右上6番 オールセラミックインレー修復

メタルセラミックス修復

担当歯科医師:川津良介理事長

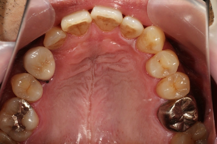
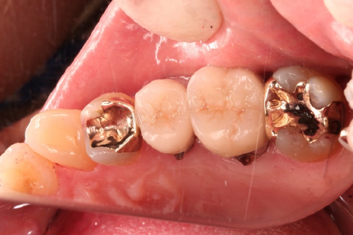
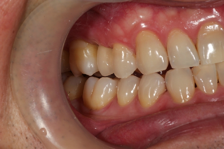
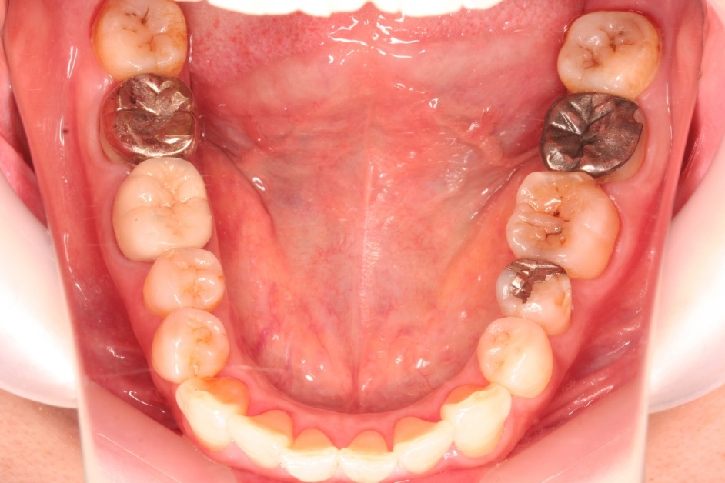
2013年8月9日平成25年8月8日 千葉市中央区 T.S様 下顎左右 メタルボンドクラウン修復

インプラント

担当歯科医師:佐藤英司

2013年8月9日千葉市中央区 N.I様 右下67番 インプラント上部構造

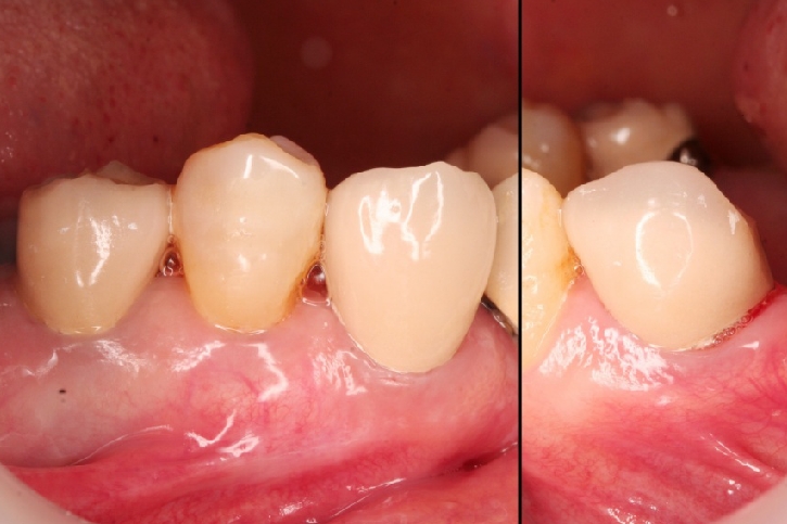
ハイブリッドセラミックス修復

担当歯科医師:佐藤英司

2013年8月8日平成25年8月7日 千葉市中央区 N.S様 右上5番 ハイブリッドセラミック修復

メタルセラミックス修復

担当歯科医師:川津良介理事長

2013年8月7日平成25年8月6日 千葉市中央区 Y.K様 左上56番 メタルボンドクラウン修復

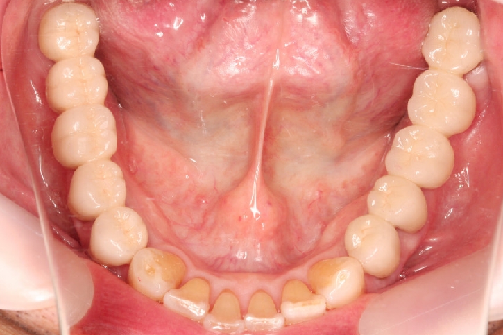
メタルセラミックス修復

担当歯科医師:丸林浩太郎

2013年8月4日千葉市中央区 F.N様 右下45678番 メタルボンドブリッジ修復

カテゴリ
最新のトピックス
バックナンバー
カテゴリ
    最新のトピックス
      バックナンバー

        診療科目

        ご予約・お問い合わせ