デンタルオフィス凛デンタルオフィス蓮デンタルオフィス零長島プロ&WORKSスピードスターコーヒーブランシェール

代表挨拶理念をみるグループ案内

総合計画チーム診療クリニックのこだわりQ&A 

診療案内

お支払い/保証制度料金について

社会貢献活動 ご予約・お問い合わせ

ホーム

作品事例

千葉市中央区の歯科グループ ZU WORLD GROUP トップ作品事例

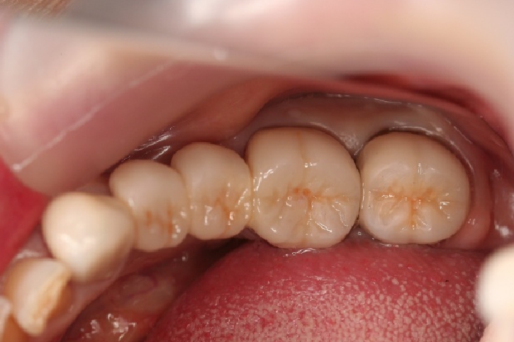
ゴールド修復

担当歯科医師:川津良介理事長

2013年9月18日平成25年9月17日 千葉市中央区 S.K様 右下45番 ゴールドインレー修復

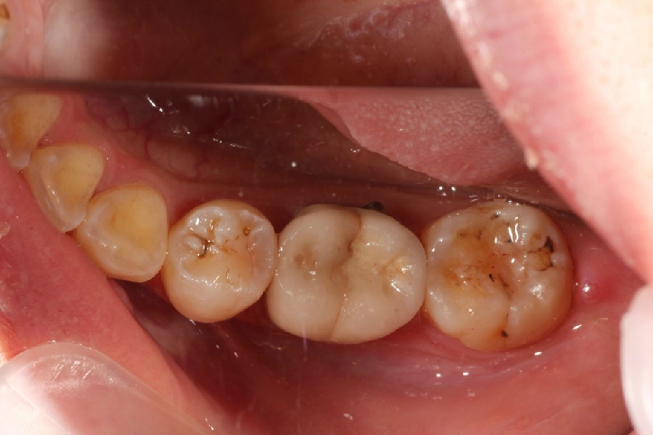
ハイブリッドセラミックス修復

担当歯科医師:川津良介理事長

2013年9月15日平成25年9月14日 千葉市中央区 J.H様 右下4567番 ハイブリットセラミック修復

メタルセラミックス修復

担当歯科医師:川津良介理事長

2013年9月14日H25.09.13 千葉市中央区 Y.T様 左下6番 メタルボンドクラウン修復  

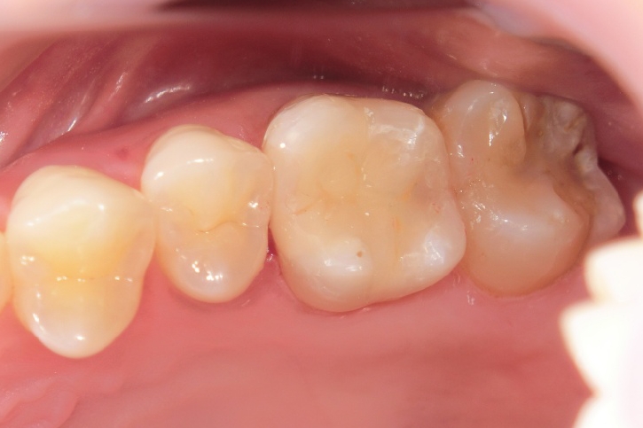
ハイブリッドセラミックス修復

担当歯科医師:丸林浩太郎

2013年9月13日千葉市若葉区 A.T様 右下5番 ハイブリッドセラミック修復 右下6番 メタルボンドクラウン修復

ハイブリッドセラミックス修復

担当歯科医師:川津良介理事長

2013年9月11日平成25年9月10日 千葉市中央区 M.M様 左下5番 ハイブリッドセラミック修復

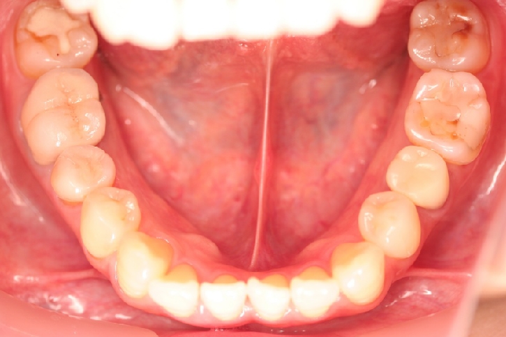
メタルセラミックス修復

担当歯科医師:川津良介理事長

2013年9月11日千葉県市川市 K.O様 左上46番 ポーセレンメタルボンドクラウン 左上5番 ハイブリッドセラミックインレー修復

ゴールド修復

担当歯科医師:川津良介理事長

2013年9月4日平成25年9月3日 千葉市中央区 T.S様 左上6番 ゴールドインレー修復

メタルセラミックス修復

担当歯科医師:川津良介

2013年9月4日H25.09.02 千葉市中央区 A.N様 右上5番 メタルボンドクラウン修復

ゴールド修復

担当歯科医師:丸林浩太郎

2013年9月3日H25.09.02 千葉市中央区 H.S様 左下7番 ゴールドインレー修復

ハイブリッドセラミックス修復

担当歯科医師:佐藤英司

2013年9月3日千葉県佐倉市 R.T様 左上6番 ハイブリッドセラミックインレー修復

カテゴリ
最新のトピックス
バックナンバー
カテゴリ
    最新のトピックス
      バックナンバー

        診療科目

        ご予約・お問い合わせ