デンタルオフィス凛デンタルオフィス蓮デンタルオフィス零長島プロ&WORKSスピードスターコーヒーブランシェール

代表挨拶理念をみるグループ案内

総合計画チーム診療クリニックのこだわりQ&A 

診療案内

お支払い/保証制度料金について

社会貢献活動 ご予約・お問い合わせ

ホーム

作品事例

千葉市中央区の歯科グループ ZU WORLD GROUP トップ作品事例

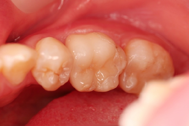
メタルセラミックス修復

担当歯科医師:川津良介理事長

2013年9月29日千葉市中央区 H.S様 右上45番 メタルボンドクラウン修復

オールセラミックス修復

担当歯科医師:丸林浩太郎

2013年9月28日平成25年9月28日 千葉市中央区 M.M様 左下7番 オールセラミックインレー修復

メタルセラミックス修復

担当歯科医師:佐藤英司

2013年9月27日平成25年9月27日 千葉市中央区 Y.U様 右上4番 メタルボンドクラウン修復

ハイブリッドセラミックス修復

担当歯科医師:川津良介理事長

2013年9月26日平成25年9月26日千葉市中央区 E.Y様 右上6番 ハイブリッドセラミックインレー修復

メタルセラミックス修復

担当歯科医師:川津良介理事長

2013年9月25日千葉市稲毛区 A.K様 上顎12番 メタルボンドクラウン修復

レジン修復

担当歯科医師:崎岡仁美

2013年9月21日平成25年9月21日 千葉市中央区 M.U様 左下67番 コンポジットレジン修復

メタルセラミックス修復

担当歯科医師:川津恵理奈

2013年9月21日千葉市中央区 M.N様 上顎左右12番 メタルボンドクラウン修復

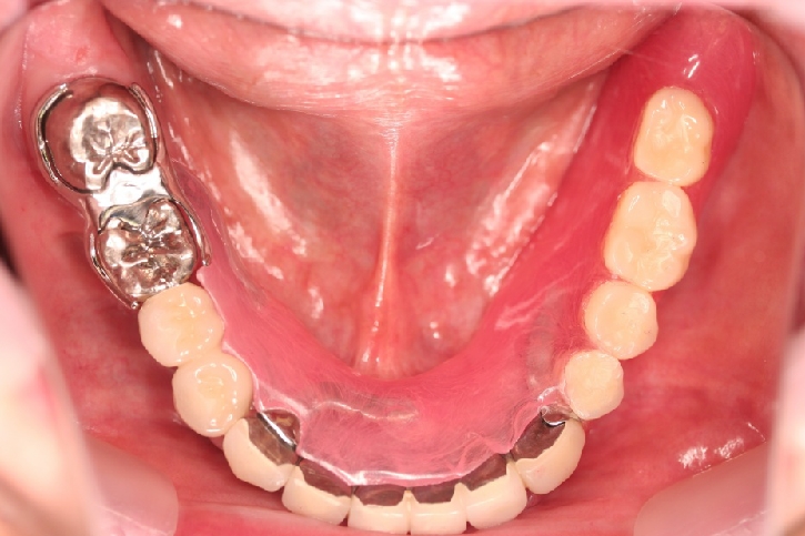
義歯修復

担当歯科医師:丸林浩太郎

2013年9月20日平成25年9月20日 千葉市中央区 S.Y様 スマイルデンチャー

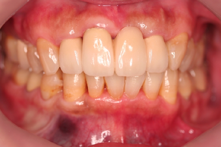
オールセラミックス修復

担当歯科医師:丸林浩太郎

2013年9月20日千葉県市川市 M.T様 右下6番 オールセラミックアンレー修復

ゴールド修復

担当歯科医師:佐藤英司

2013年9月19日東京都江戸川区 E.M様 右上7番 ゴールドアンレー修復

カテゴリ
最新のトピックス
バックナンバー
カテゴリ
    最新のトピックス
      バックナンバー

        診療科目

        ご予約・お問い合わせ