レジン修復
担当歯科医師:佐藤英司
2013年2月3日千葉県市原市 A.S様 右上6番 ダイレクトボンディング修復
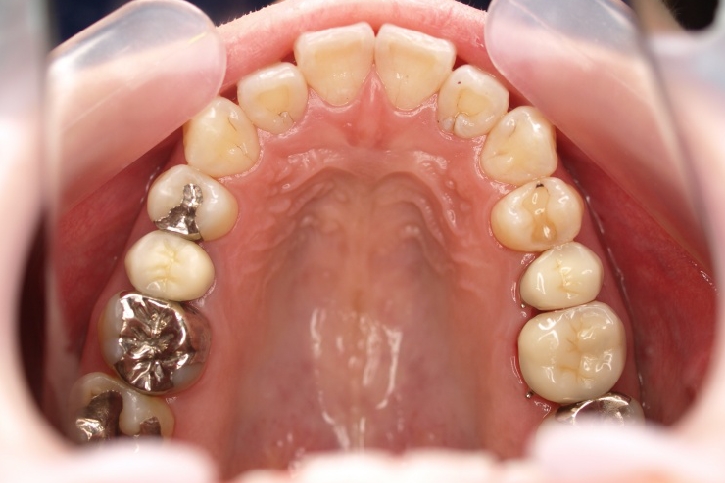
オールセラミックス修復
担当歯科医師:川津良介
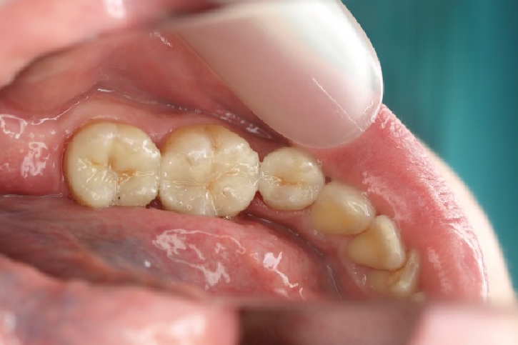
2013年2月1日平成25年1月31日 千葉県君津市 K.S様 右下7番 オールセラミックインレー修復
オールセラミックス修復
担当歯科医師:川津良介
2013年2月1日平成25年1月31日 千葉市中央区 A.S様 左下467番 セラミックインレー修復
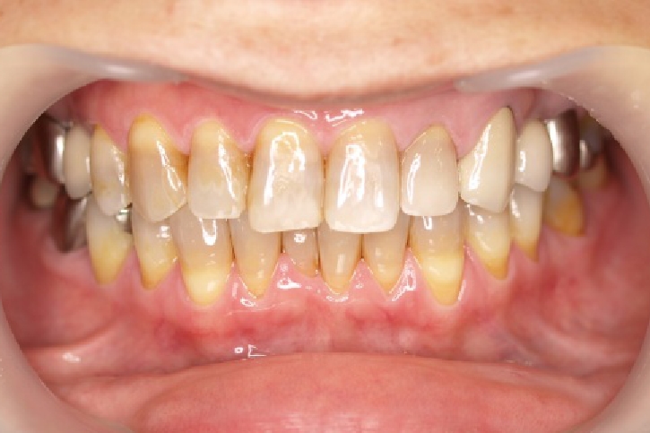
オールセラミックス修復
担当歯科医師:佐藤英司
2013年1月29日東京都江戸川区 M.I様 右上4番 オールセラミッククラウン修復
メタルセラミックス修復
担当歯科医師:丸林浩太郎
2013年1月27日平成25年1月26日 千葉県木更津市 K.Y様 左上4、5、6番 ポーセレンメタルボンドクラウン修復
オールセラミックス修復
担当歯科医師:佐藤英司
2013年1月27日東京都羽村市 Y.N様 左上2番 オールセラミッククラウン修復
ハイブリッドセラミックス修復
担当歯科医師:川津良介
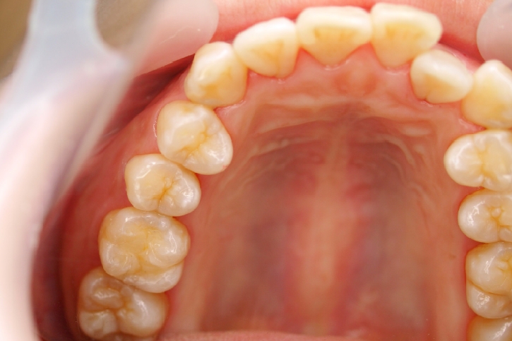
2013年1月18日平成25年1月17日 千葉市若葉区 R.S様 左上56番 ハイブリッドクラウン修復
オールセラミックス修復
担当歯科医師:川津良介
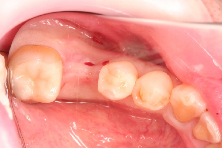
2013年1月18日千葉市若葉区 Y.T様 左下5番7番 オールセラミックインレー修復
カテゴリ
最新のトピックス
バックナンバー