デンタルオフィス凛デンタルオフィス蓮デンタルオフィス零長島プロ&WORKSスピードスターコーヒーブランシェール

代表挨拶理念をみるグループ案内

総合計画チーム診療クリニックのこだわりQ&A 

診療案内

お支払い/保証制度料金について

社会貢献活動 ご予約・お問い合わせ

ホーム

作品事例

千葉市中央区の歯科グループ ZU WORLD GROUP トップ作品事例

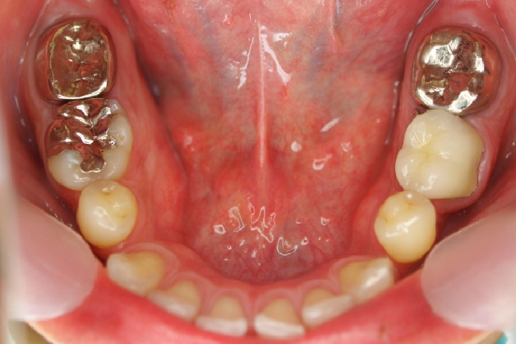
オールセラミックス修復

担当歯科医師:川津良介

2013年3月8日千葉県船橋市 A.T様 左下45番 オールセラミック修復

義歯修復

担当歯科医師:川津良介

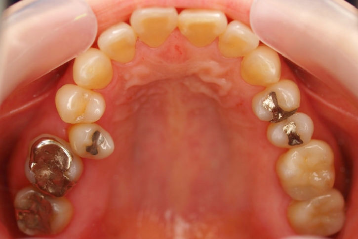
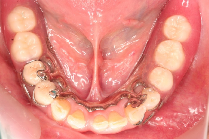
2013年3月6日千葉県市原市 M.K様  金属床義歯修復

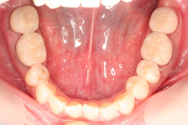
ハイブリッドセラミックス修復

担当歯科医師:丸林浩太郎

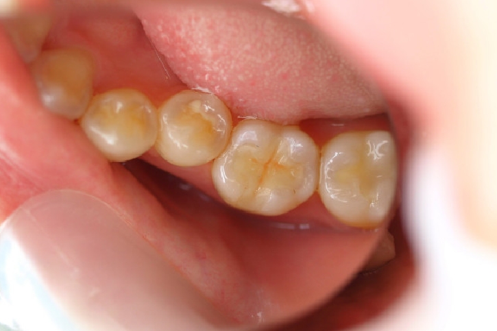
2013年3月2日千葉市中央区 S.K様 左下6番 ハイブリッドセラミックインレー修復

ハイブリッドセラミックス修復

担当歯科医師:丸林浩太郎

2013年3月2日千葉市中央区 S.K様 左下6番 ハイブリッドセラミックインレー修復

オールセラミックス修復

担当歯科医師:川津良介

2013年2月27日千葉市中央区 T.H様  左上6番 オールセラミックアンレー修復

メタルセラミックス修復

担当歯科医師:川津良介

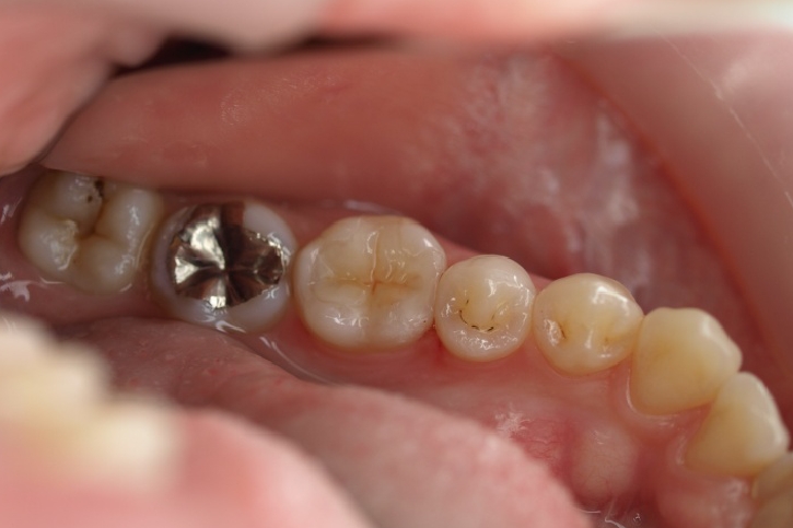
2013年2月20日平成25年2月19日 千葉市中央区 D.H様 左下6番 メタルボンドクラウン修復

オールセラミックス修復

担当歯科医師:川津良介

2013年2月13日千葉市中央区 T.H様 左下567番 オールセラミックブリッジ修復

ハイブリッドセラミックス修復

担当歯科医師:川津良介

2013年2月10日平成25年2月9日 千葉市中央区 Y.N様 右下6番 ハイブリッドセラミック修復

オールセラミックス修復

担当歯科医師:川津良介

2013年2月8日平成25年2月7日 千葉市中央区 A.H様 右上4番 セラミックインレー修復

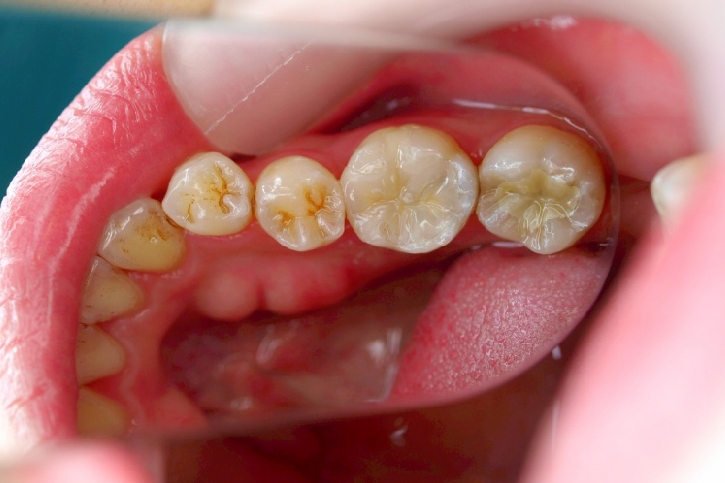
ゴールド修復

担当歯科医師:丸林浩太郎

2013年2月5日千葉市中央区 T.S様 左右6番ゴールドインレー・クラウン修復

カテゴリ
最新のトピックス
バックナンバー
カテゴリ
    最新のトピックス
      バックナンバー

        診療科目

        ご予約・お問い合わせ