はじめてのかたへ
診療について
お支払い / 保証制度 / 医療費控除

作品事例

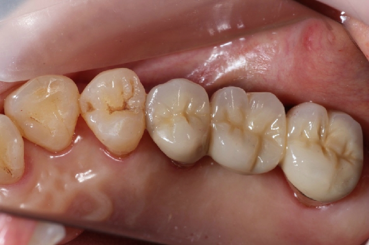
千葉市中央区の歯科グループ ZU WORLD GROUP トップ作品事例千葉市中央区 H.I様 左上臼歯部 ハイブリッドセラミックス修復

2015.09.18

千葉市中央区 H.I様 左上臼歯部 ハイブリッドセラミックス修復

担当歯科医師:恵理奈
カテゴリ
最新のトピックス
バックナンバー
カテゴリ
    最新のトピックス
      バックナンバー

        診療科目

        電話で予約
        WEBで予約

        千葉神社前

        デンタルオフィス凛

        デンタルオフィス凛

        〒260-0018
        千葉市中央区院内2-15-1 ベッリーノ伊藤1F(千葉神社前)

        千葉中央駅前

        デンタルオフィス蓮

        デンタルオフィス蓮

        〒260-0014
        千葉市中央区本千葉町1-1 千葉中央駅前メディカルスクエア4F