デンタルオフィス凛デンタルオフィス蓮デンタルオフィス零長島プロ&WORKSスピードスターコーヒーブランシェール

代表挨拶理念をみるグループ案内

総合計画チーム診療クリニックのこだわりQ&A 

診療案内

お支払い/保証制度料金について

社会貢献活動 ご予約・お問い合わせ

ホーム

作品事例

千葉市中央区の歯科グループ ZU WORLD GROUP トップ作品事例千葉市中央区 H.U様 全顎補綴治療

2013.10.12

千葉市中央区 H.U様 全顎補綴治療

担当歯科医師:川津良介

ひとことコメント

約1年6ヶ月の通院お疲れ様でした。
これからは、メンテナンスでお会いしましょう。
半年に一度インプラント専用メンテナンスも行います。
宜しくお願い致します。

First Examination

主訴および現症

左下の被せ物がとれて痛い
既往歴
心臓疾患 糖尿病

初診時の口腔内写真
初診時のパノラマレントゲン写真

問題点の抽出

①下顎臼歯部欠損による咬合崩壊

治療計画 Treatment Plan

①初期治療(むし歯治療 不良補綴物の除去 根管治療 歯周基本治療等)
②右下67番相当部、左下6番相当部にインプラント埋入
③最終治療(補綴物装着)
④メンテナンス

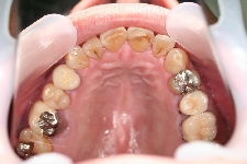
Final Restoration

治療終了後の口腔内写真
治療終了後のパノラマレントゲン写真

カテゴリ
最新のトピックス
バックナンバー
カテゴリ
    最新のトピックス
      バックナンバー

        診療科目

        ご予約・お問い合わせ