はじめてのかたへ
診療について
お支払い / 保証制度 / 医療費控除

作品事例

千葉市中央区の歯科グループ ZU WORLD GROUP トップ作品事例

オールセラミックス修復

担当歯科医師:川津良介 / 担当技工:ワールドインテリジェンスジャパン

2017年5月13日H29.05.01 千葉市中央区 Y.K様 左上小臼歯部 オールセラミックス修復

ハイブリッドセラミックス修復

担当歯科医師:佐藤 / 担当技工:長島プロ&WORKS

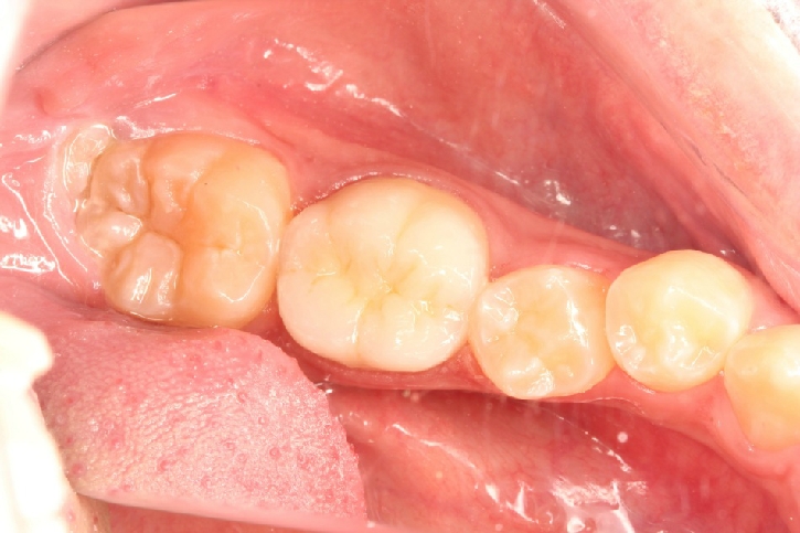
2017年5月13日H29.04.27 千葉市中央区 J.K様 右下6番 ハイブリッドセラミックス修復

ハイブリッドセラミックス修復

担当歯科医師:佐藤 / 担当技工:長島プロ&WORKS

2017年5月13日H29.04.26 千葉市中央区 F.O様 右下6番 ハイブリッドセラミックス修復

メタルセラミックス修復インプラント

担当歯科医師:川津良介 / 担当技工:ワールドインテリジェンスジャパン

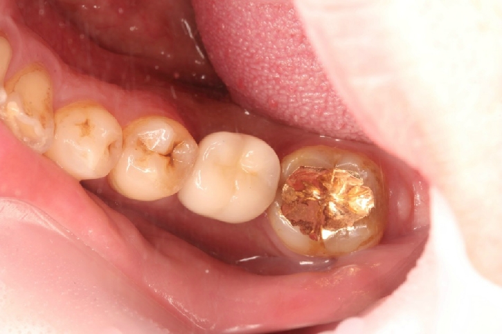
2017年5月13日千葉市中央区 M.T様 左下6番 メタルセラミックス修復 (インプラント)

メタルセラミックス修復

担当歯科医師:直野 / 担当技工:アートテクノロジー

2017年5月13日H29.04.24 千葉県大網白里市 K.K様 左上臼歯部 メタルセラミックス修復

ハイブリッドセラミックス修復

担当歯科医師:直野 / 担当技工:長島プロ&WORKS

2017年4月22日H29.04.21 千葉市中央区 T.T様 左下6番 ハイブリッドセラミックスクラウン

ハイブリッドセラミックス修復

担当歯科医師:直野 / 担当技工:長島プロ&WORKS

2017年4月20日H29.04.18 千葉市中央区 K.K様 左下臼歯部 ハイブリッドセラミックスクラウン

ハイブリッドセラミックス修復

担当歯科医師:直野 / 担当技工:アートテクノロジー

2017年4月16日H29.04.14 東京都江東区 K.S様 左上臼歯部 ハイブリッドセラミックス修復

メタルセラミックス修復

担当歯科医師:川津良介 / 担当技工:アートテクノロジー

2017年3月27日千葉県市原市 T.O様 左上6番 メタルセラミックス修復 担当歯科医師

ハイブリッドセラミックス修復

担当歯科医師:直野 / 担当技工:長島プロ&WORKS

2017年3月20日H29.03.18 千葉市中央区 K.I様 右下臼歯部 ハイブリッドセラミックス修復

カテゴリ
最新のトピックス
バックナンバー
カテゴリ
    最新のトピックス
      バックナンバー

        診療科目

        電話で予約
        WEBで予約

        千葉神社前

        デンタルオフィス凛

        デンタルオフィス凛

        〒260-0018
        千葉市中央区院内2-15-1 ベッリーノ伊藤1F(千葉神社前)

        千葉中央駅前

        デンタルオフィス蓮

        デンタルオフィス蓮

        〒260-0014
        千葉市中央区本千葉町1-1 千葉中央駅前メディカルスクエア4F