デンタルオフィス凛デンタルオフィス蓮デンタルオフィス零長島プロ&WORKSスピードスターコーヒーブランシェール

代表挨拶理念をみるグループ案内

総合計画チーム診療クリニックのこだわりQ&A 

診療案内

お支払い/保証制度料金について

社会貢献活動 ご予約・お問い合わせ

ホーム

作品事例

千葉市中央区の歯科グループ ZU WORLD GROUP トップ作品事例

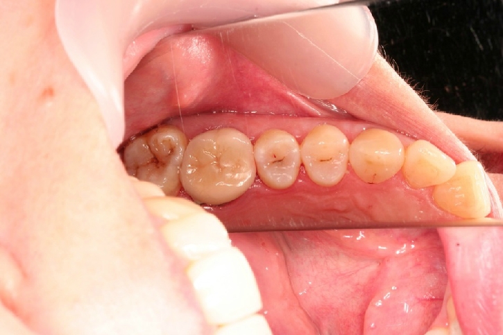
メタルセラミックス修復

担当歯科医師:佐藤英司

2013年10月24日H25.10.23 千葉市中央区 Y.O様 左上2345番 ポーセレンメタルボンドクラウン修復

オールセラミックス修復

担当歯科医師:川津良介

2013年10月23日H25.10.22 千葉市花見川区 S.K様 左下4番オールセラミックインレー修復

メタルセラミックス修復

担当歯科医師:佐藤英司

2013年10月23日千葉市中央区 M.W様 左下45番ポーセレンメタルボンドクラウン修復

オールセラミックス修復

担当歯科医師:川津良介

2013年10月19日H25.10.19 千葉市中央区 T.T様 右上1番オールセラミッククラウン修復

メタルセラミックス修復

担当歯科医師:丸林浩太郎

2013年10月18日千葉市中央区 T.M様 右下67番 ポーセレンメタルボンドクラウン修復

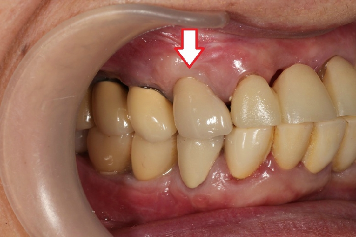
ハイブリッドセラミックス修復

担当歯科医師:佐藤英司

2013年10月16日千葉市中央区 J.T様 右下45番 ハイブリッドセラミッククラウン修復

メタルセラミックス修復

担当歯科医師:川津良介

2013年10月15日H25.10.15 千葉市中央区 O.K様 右上6番ポーセレンメタルボンドクラウン修復

メタルセラミックス修復

担当歯科医師:川津良介

2013年10月15日H25.10.09 神奈川県足柄群 E.I様 右上3番ポーセレンメタルボンドクラウン修復

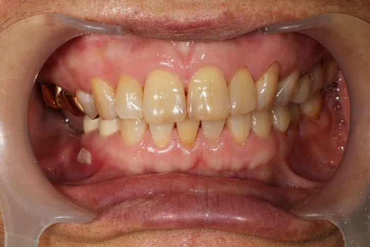
ゴールド修復

担当歯科医師:佐藤英司

2013年10月15日千葉市中央区 M.K様 左下567番 ゴールドブリッジ修復

ハイブリッドセラミックス修復

担当歯科医師:佐藤英司

2013年10月15日千葉市中央区 Y.I様 ハイブリッドセラミッククラウン修復

カテゴリ
最新のトピックス
バックナンバー
カテゴリ
    最新のトピックス
      バックナンバー

        診療科目

        ご予約・お問い合わせ