はじめてのかたへ
診療について
お支払い / 保証制度 / 医療費控除

作品事例

千葉市中央区の歯科グループ ZU WORLD GROUP トップ作品事例

オールセラミックス修復

担当歯科医師:川津良介

2015年10月25日H27.10.24 千葉市美浜区 S.I様 右下5番 オールセラミックス修復

ハイブリッドセラミックス修復

担当歯科医師:佐藤

2015年10月21日H27.10.19 千葉市中央区 Y.S様 右上臼歯部 ハイブリッドセラミックス修復

ハイブリッドセラミックス修復

担当歯科医師:川津良介

2015年10月21日H27.10.20 千葉県長生郡 C.T様 左下6番 ハイブリッドセラミックス修復

ハイブリッドセラミックス修復

担当歯科医師:直野

2015年10月17日H27.10.16 千葉県習志野市 K.N様 左下臼歯部 ハイブリッドセラミックス修復

メタルセラミックス修復

担当歯科医師:佐藤

2015年10月16日H27.10.14 千葉市中央区 N.T様 右下臼歯部 メタルセラミックス修復

ハイブリッドセラミックス修復

担当歯科医師:佐藤

2015年10月16日H27.10.14 千葉市中央区 K.T様 右上臼歯部 ハイブリッドセラミックス修復

ハイブリッドセラミックス修復

担当歯科医師:恵理奈

2015年10月11日H27.10.10 千葉市緑区 S.F様 右上臼歯部 ハイブリッドセラミックス修復

ハイブリッドセラミックス修復

担当歯科医師:直野

2015年10月11日H27.10.10 千葉市中央区 N.O様 右下臼歯部 ハイブリッドセラミックス修復

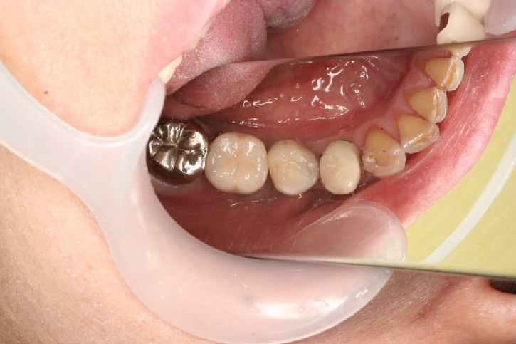
ゴールド修復

担当歯科医師:佐藤

2015年10月7日H27.10.06 千葉市中央区 T.K様 右上7番 ゴールド修復

インプラント

担当歯科医師:川津良介

2015年10月2日千葉市若葉区 H.K様 右下6番 インプラント

カテゴリ
最新のトピックス
バックナンバー
カテゴリ
    最新のトピックス
      バックナンバー

        診療科目

        電話で予約
        WEBで予約

        千葉神社前

        デンタルオフィス凛

        デンタルオフィス凛

        〒260-0018
        千葉市中央区院内2-15-1 ベッリーノ伊藤1F(千葉神社前)

        千葉中央駅前

        デンタルオフィス蓮

        デンタルオフィス蓮

        〒260-0014
        千葉市中央区本千葉町1-1 千葉中央駅前メディカルスクエア4F