はじめてのかたへ
診療について
お支払い / 保証制度 / 医療費控除

作品事例

千葉市中央区の歯科グループ ZU WORLD GROUP トップ作品事例

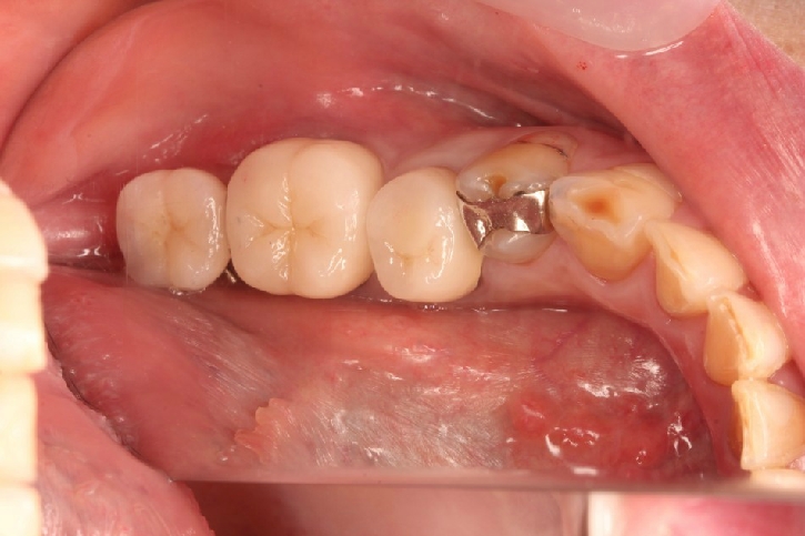
ハイブリッドセラミックス修復

担当歯科医師:佐藤

2016年12月10日H28.12.03 東京都台東区 Y.K様 右下6番 ハイブリッドセラミックス修復

ハイブリッドセラミックス修復

担当歯科医師:川津良介

2016年12月10日H28.12.02 千葉市中央区 K.K様 右上7番 ハイブリッドセラミックス修復

ハイブリッドセラミックス修復

担当歯科医師:川津良介

2016年12月10日H28.12.02 千葉市中央区 J.S様 右上臼歯部 ハイブリッドセラミックス修復

ハイブリッドセラミックス修復

担当歯科医師:川津良介

2016年12月10日H28.12.02 千葉県大網白里市 M.K様 左上7番 ハイブリッドセラミックス修復

ハイブリッドセラミックス修復

担当歯科医師:直野

2016年12月10日H28.12.01 千葉市中央区 K.T様 右上6番 ハイブリッドセラミックス修復

ハイブリッドセラミックス修復

担当歯科医師:川津良介

2016年11月24日H28.11.22 千葉県長生郡 C.T様 右上臼歯部 ハイブリッドセラミックス修復

ハイブリッドセラミックス修復

担当歯科医師:佐藤

2016年11月19日H28.11.18 千葉市緑区 T.I様 右下5番ハイブリッドセラミックス修復

ゴールド修復

担当歯科医師:直野

2016年11月19日H28.11.07 千葉市中央区 Y.M様 右上7番 ゴールド修復

メタルセラミックス修復

担当歯科医師:佐藤

2016年11月19日H28.11.05 千葉市中央区 H.T様 左上5番 メタルセラミックス修復

メタルセラミックス修復

担当歯科医師:佐藤

2016年11月4日H28.11.02 千葉県長生郡 S.I様 左下7番メタルセラミックス修復

カテゴリ
最新のトピックス
バックナンバー
カテゴリ
    最新のトピックス
      バックナンバー

        診療科目

        電話で予約
        WEBで予約

        千葉神社前

        デンタルオフィス凛

        デンタルオフィス凛

        〒260-0018
        千葉市中央区院内2-15-1 ベッリーノ伊藤1F(千葉神社前)

        千葉中央駅前

        デンタルオフィス蓮

        デンタルオフィス蓮

        〒260-0014
        千葉市中央区本千葉町1-1 千葉中央駅前メディカルスクエア4F